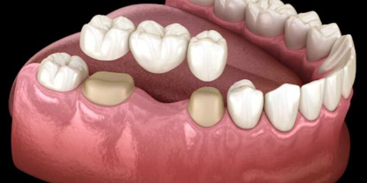
Una corona dentale è un rivestimento su misura che ricopre un dente indebolito o fratturato per ripristinare funzione ed estetica. È indicata quando la struttura residua non basta più per una semplice otturazione—ad esempio dopo carie estese, fratture cuspali o terapie canalari—oppure quando si desidera uniformare forma e colore in zona estetica. Prima di proporla, il dentista valuta quantità di tessuto sano, occlusione, abitudini (bruxismo), igiene e aspettative estetiche; spesso si considerano anche alternative conservative (inlay, onlay, faccette) se la perdita di sostanza è limitata.
Un altro punto cruciale è la qualità del laboratorio e del flusso digitale: impronte ottiche e progettazione CAD-CAM migliorano precisione dei margini e comfort della seduta, permettendo tempi più prevedibili. Chi ha tempi stretti o arriva da fuori città apprezza protocolli che riducono gli appuntamenti, ma ciò non deve compromettere diagnosi, provvisori di qualità e verifiche dell’occlusione. Infine, contano le aspettative di durata: con igiene corretta e controlli periodici, molte corone superano i 5–10 anni; fattori di rischio come parafunzioni o parodonto instabile richiedono bite notturni e follow-up puntuali.

Zirconia, porcellana, E-max: scegliere il materiale giusto
Oggi i tre grandi protagonisti sono zirconia, porcellana/metallo-ceramica e E-max (disilicato di litio). La zirconia offre elevata resistenza, indicata spesso nei settori posteriori e per pazienti con forze masticatorie importanti; nelle versioni monolitiche/translucent ha fatto passi avanti anche sul piano estetico. La metallo-ceramica resta un riferimento per robustezza e predicibilità, pur con l’eventuale rischio estetico del “bordino” grigio se il margine è superficiale. Il disilicato di litio, grazie all’adesione e alla traslucenza, è gettonato in zona estetica (incisivi e premolari) quando si ricerca un effetto molto naturale.
La scelta è sempre personalizzata: sede del dente, spessore ottenibile, spazio occlusale, tipo di preparazione e aspettative estetiche orientano il piano. Anche la cementazione (tradizionale vs adesiva) influisce su longevità e gestione delle complicanze. Per il paziente, comprendere pro e contro dei materiali aiuta a valutare preventivi in modo consapevole e a fare domande più mirate al professionista.
Approfondimento pratico su materiali, procedura e casi reali
Se vuoi vedere un esempio concreto e ben strutturato che spiega quando si usa una corona, le differenze tra zirconia, porcellana ed E-max, i passaggi clinici e cosa aspettarti nelle varie fasi (dalla preparazione alla cementazione), trovi utile questa risorsa: approfondire materiali e procedura. È una lettura chiara per orientarsi tra opzioni e tempistiche, utile anche per preparare le domande al tuo dentista prima di decidere.
Durata e costi: cosa aspettarsi (e perché i prezzi variano)
Le corone hanno tassi di successo elevati quando indicazione, preparazione, materiale e laboratorio sono corretti. La durata è influenzata da igiene, occlusione, gestione del bruxismo e qualità dei controlli periodici. Per i costi, le variabili più rilevanti sono:
- Materiali e tecnologia (zirconia multilayer, CAD-CAM, scanner intraorale)
- Complessità del caso (devitalizzazioni, ricostruzioni, eventuali perni)
- Numero di sedute e logistica (tempi compressi, gestione del dolore, provvisori di qualità)
- Garanzie, follow-up e assistenza (controlli inclusi, eventuale ritocco/ritoccatura)
In Italia l’odontoiatria è coperta in maniera limitata dai sistemi pubblici, quindi molti pazienti sostengono la spesa privatamente e cercano il miglior rapporto qualità/prezzo. È comprensibile valutare soluzioni fuori regione o all’estero, ma la convenienza non deve mai prevalere su requisiti clinici, trasparenza e tracciabilità dei materiali.

Turismo dentale in sicurezza: checklist in 7 punti
Chi considera un percorso fuori confine dovrebbe usare una checklist minima per ridurre i rischi:
- Qualifiche e specializzazioni documentate del team (CV, iscrizione all’albo, esperienza nei casi simili al tuo).
- Materiali certificati con tracciabilità (schede tecniche, lotti, marchi CE/FDA).
- Piano di trattamento scritto con tempi, alternative e preventivo chiaro (no sorprese).
- Protocolli digitali (impronta ottica, CAD-CAM) e laboratorio qualificato.
- Garanzie su protesi/impianti e condizioni per attivarle.
- Follow-up: chi gestisce il controllo a distanza di mesi? Esiste un canale post-trattamento in italiano?
- Casi clinici e testimonianze verificabili, meglio se con foto standardizzate.
Come valutare una clinica (anche all’estero) senza errori
Al di là del prezzo, punta su trasparenza e organizzazione: presenza di FAQ dettagliate, informazioni sulla logistica (trasferimenti, alloggio), disponibilità di consulenza in italiano, esempi di casi trattati e una sezione chiara sui servizi (implantologia, protesi, estetica, ortodonzia). Un buon sito istituzionale permette di comprendere rapidamente chi fa cosa, quali tecnologie sono disponibili e come viene gestito il paziente dall’arrivo al rientro, inclusi i controlli.
Se cerchi un punto di partenza per una verifica dei requisiti, per leggere le domande frequenti e capire come funziona l’assistenza in lingua italiana, può esserti utile dare un’occhiata a una clinica con team certificato in Albania. Non è un invito a scegliere alla cieca—al contrario, può aiutarti a confrontare in modo critico organizzazione, materiali, garanzie e modalità di contatto rispetto ad altre strutture che stai valutando.










